FightAIDS@Home

nein, ein Quad schafft doppelt soviele (er arbeitet an vier workunits zeitgleich) wie ein gleich schneller Dualcore. Sprcih taktest du deinen Quad hoch , dann schafft er mehr.
 
Everest gibt dir einen groben Richtwert über den Verbrauch - einfach mal im Idle und im Load gucken (macht bei mir wegen RM CPU-Clock einen ziemlichen Unterschied)

WCG lasse ich aber nicht mehr laufen, da ich teilweise sehr deutliches Piepen davon in den Boxen gehört hab und es (auch bei geringer Auslastung des Prozessors durch WCG) beim Spielen zu sekundengetakteten Rucklern (synchron zu den Berechnungen) kam, die nach ausschalten von WCG weg waren.
Und wenn ich nicht am PC bin, ist er eh aus :)
Wenn das Programm nicht nur im Sekundentakt binär arbeiten würde (1 Sekunde volle Pulle - eine Sekunde nichts tun), sondern konstant auf einem einstellbaren Wert, wäre es wieder eine Überlegung für mich - aber das liegt wohl nicht am Programm, sondern wohl eher daran, dass imme rnur einzelne Units verarbeitet werden können, oder irre ich mich da?

mfg
der Doktor

edit: Yeah 100 Posts :D
 
Zuletzt bearbeitet: (wichtige Mitteilung :P)
Silvan2140 schrieb:
will ned wissen wieviel strom ich schon "vergeudet" hab

Die nächste Stromabrechnung wird es zeigen. Richtig schmerzhaft wird es wenn man das ganze als "Sport" ansieht und seine Kiste nur deswegen über Nacht etc. durchlaufen lässt.
 
totaler schwachsinn!
sorry leute aber zeigt mir einen hiv virus und ich mache sofort mit.

fragt mal bei der bundeszentrale für gesundheitliche aufklärung nach einem foto vom dem sog. aids-virus.

es gibt keins.

der nachweis für das sog. hiv-virus ist bis heute nicht erbracht.

sollte man nicht zuerst wissen wogegen man kampft bevor man sich an ein heilmittel macht.

das ist ne riesen verarschung.
 
Sorry, Silva_Surfer, aber was du da erzählst ist mal totaler Schwachsinn...

Natürlich wurde das HI-Virus bereits nachgewiesen, auch Fotos sind existent, nur das komplette Genom wurde noch nicht entschlüsselt. Auch die Wirkweise ist mittlerweile bekannt.
Es zwingt dich ja keiner, da mitzumachen, aber falsche Sachen zu verbreiten ist nicht gerade produktiv.

Gruß,
[sauba]
 

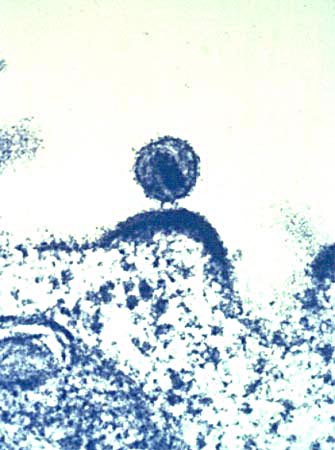
Anhänge

  • Hiv_budding.jpg
    Hiv_budding.jpg
    36,8 KB · Aufrufe: 577
unsinn!

beweise!


"Am 5.1.2004 gestand die Bundesgesundheitsministerin Ulla Schmidt ihr Wissen ein, dass das behauptete"HIV"niemals entdeckt, niemals empirisch-wissenschaftlich nachgewiesen worden ist,sondern nur aufgrund eines Konsens als nachgewiesen gilt."



So hat beispielsweise das Bundesministerium für Gesundheit mit Schreiben vom 08.03.96 (Az: 321-1021 A-4/96) an den Petitionsausschuß des Deutschen Bundestages festgestellt, daß der "HIV-Nachweis" im peripheren Blut aus "technischen Gründen" bisher keinem Wissenschaftler gelungen ist.
 
Zuletzt bearbeitet:
08.03.96 DAS ist sehr alt. Glaubste nicht dass du mal etwas weiter gehen solltest?
Kannst ja auch gleich sagen 3000v. Christus gabs keine Eisenbahnen, weils keiner erfunden hat O_o.
 
nun daran hat sich bis heute nichts geändert.
und wenn du dir die mühe machen würdest dich mit dem thema ernsthaft auseinander zu setzen dann würdest du recht schnell feststellen das da etwas ganz gehörig in die verkehrte richtung läuft.

wie schrieb noch neulich ein bekannter arzt im deutschen ärzteblatt?
sein name ist mir nun entfallen und ich werde es aber nachliefern.




sinngemäß resümierte er seine lange erfahrung mit der aussage das es offensichtlich der pharma und medizin industrie nur darum ginge ihren kundenstamm (uns alle) dauerhaft krank zu halten um an uns zu verdienen.

ich werde den artikel nachliefern.
update: der artikel ist von 2002:
http://www.aerzteblatt.de/v4/archiv/artikel.asp?src=suche&id=33941
 
Zuletzt bearbeitet:
@silva_surfer
Rießen Verarsche also. (Glaube was man will.)

Und für was wird es dann genutzt?
 
sorry aber dein post ist mir nicht verständlich.
bitte etwas genauer.

aber euch allen steht es frei bücher zu lesen.
 
DragonGate schrieb:
Und für was wird es dann genutzt?

Absolute Kritiker oder Skeptiker vermuten hinter manch einen Projekt das man z.Bsp. unter dem Deckmantel der Medizinforschung für das Militär oder ähnliches z.Bsp. Bio-Waffen erforscht. Wenn du das gemeint hast? Aber nun gut das kann auch absoluter Nonsens sein und Leute streuen nur bissel böse Gerüchte :D

Zum Thema HIV kann man wenn man das will allgemein im Internet die verschiedensten Geschichten und Theorien lesen
 
Naja, ich vertraue da lieber meinem Verstand und nicht irgendwelchen dahergelaufenen Leuten, die gerne im Rampenlicht wären (Auch wenn diese in der Lage sind, Bücher zu schreiben).

Des Weiteren, wenn es dich nicht interessiert, dann denk dir doch einfach "Haha, diese Trottel", lass uns weitermachen und versuch nicht irgendeinen Streit anzuzetteln - wir sind ja nicht mehr 12.
(Zumindest gehe ich mal davon aus :D )

Gruß,
[sauba]
 
streit!

mitnichten mein herr.
das ist und war niemals meine intention.

es steht jeden frei sich anhand von literatur und zuhilfenahme seines gesunden menschenverstandes ein bild von dingen zu machen bzw. sich selbst eine meinung zu bilden
statt postulate oder meinungen zu rekapitulieren.

es lohnt immer kritisch zu hinterfragen.
 
Stimmt - wie bei allem im Leben entscheidet jedoch die Dosis bzw. Intensität zwischen Gift und Medizin (womit der Thread schön zum Thema zurückgeführt worden ist ;) ).

Gruß,
[sauba]
 
Struktur und Aufbau des HI-Virus
Aufbau des HI-Virions

HIV gehört zu den komplexen Retroviren, das heißt, sie besitzen neben den kanonischen retroviralen Genen gag, pol und env weitere regulatorische und akzessorische Leseraster, namentlich bei HIV-1 tat, rev, vif, vpu, vpr und nef.

Das Viruspartikel hat einen Durchmesser von etwa 100–120 nm und ist von einer Lipoproteinhülle umgeben. Eingebettet in diese Hülle sind 72 etwa 10 nm große env-Glykoproteinkomplexe, die aus einem externen Anteil (gp120) und einem Transmembranprotein (gp41) bestehen.[5] Gp120 ist für die Bindung des Virus an die CD4-Rezeptoren der Zielzellen von entscheidender Bedeutung. Da die Hülle des HI-Virus aus der Membran der Wirtszelle entsteht, befinden sich in ihr ebenfalls verschiedene Proteine der Wirtszelle, zum Beispiel HLA Klasse I und II Moleküle sowie Adhäsionsproteine.

Mit der Innenseite der Membran sind die durch gag kodierten Matrixproteine assoziiert. Im Inneren des Virions findet sich das Viruskapsid (oder core), das aus den durch gag kodierten Kapsidproteinen aufgebaut ist. Im Kapsid findet sich, an die durch gag kodierten Nukleokapsidproteine assoziiert, das virale Genom (9,2 kb) in Form zweier Kopien der einzelsträngigen RNA in Plusstrangorientierung. Ebenso befinden sich im Kapsid die Enzyme reverse Transkriptase (RT), Integrase und Protease sowie einige der akzessorischen Proteine.

800px-HIV_Viron.png
Human_Immunodeficency_Virus_-_stylized_rendering.jpg
hiv1.jpg
hiv_aids.jpg


aber das haben die sich bestimmt alle nur ausgedacht!! :volllol: :headshot:
 
das bild zeigt ein virusähnliches objekt in einer zellstruktur.

das entspricht jedoch nach international geltenden regeln für den wissenschaftlich korrekten empirischen nachweis keinem nachweis für ein isoliertes virus.
und wo sind die aufgetrennten eiweise des virus?



das ist humbug!

sorry.

ihr könnt euch ja mal schlau machen wie der standard für den nachweis eines virus auszusehen hat.
dieser nachweis fehlt bis heute für das hiv-virus!
das ist fakt!

und das malen nach zahlen bild möchte ich mal nicht kommentieren.


es empfiehlt sich tatsächlich auch manchmal ein buch zu lesen statt nur zu googeln.


update: musste die kinder schlafen legen:

Wie neue viren identifiziert werden!

In einer virus-isolation müssen die viren aus den zellen, körperflüssigkeiten oder zellstrukturen isoliert werden und von allen verunreinigungen befreit werden. Die ist der erste schritt in der virus isolation .Und aus zweierlei gründen sehr einfach.
Erstens weisen viren im gegensatz zu lebenden zellen, je nach art, immer die gleiche form und größe auf.
So können sie anhand ihrer dichte und/oder ihrer sedimentationseigenschaften leicht von anderen zellulären bestandteilen getrennt und somit isoliert werden.
Zweitens gibt es seit langem geeignete flüssigkeiten , wie z.b. aus silikon-kügelchen, die keine osmotischen kräfte ausüben und die virus-partikel in der isolation intakt lassen.
Zur darstellung werden die isolierten viren im elektronenmikroskop fotografiert und müssen dann exakt so aussehen, wie die partikel, die in den zellen, in den körperflüssigkeiten oder zellstrukturen beobachtet wurden.
Denn oftmals, besonders im plazentagewebe, krebsgewebe, aber auch oft und spontan in zellkulturen sieht man partikel, die ähnlich wie viren aussehen, aber gar keine sind. Weiterhin müssen die eiweise des virus, die die hülle bilden und die genetische substanz umgeben, im elektrischen feld ihrer größe nach aufgetrennt und fotografiert werden.
Dabei ergibt sich für jede virus art ein spezifisches längenmuster, denn jede virus art setzt sich aus unterschiedlich vielen und/oder unterschiedlich großen eiweisen zusammen.
Das gleiche gilt für die genetische substanz der viren, die aus rna oder dna bestehen und unterschiedlich lang sein kann.
Die eiweise können leicht verdaut werden und die rna oder dna, ähnlich wie die eiweise, werden im elektrischen feld ihrer länge nach aufgetrennt und können so fotografiert werden. Sind diese drei ersten schritte dokumentiert und unterscheidet sich das untersuchte virus in der zusammensetzung seiner eiweise und der genetischen substanz von anderen bekannten viren, kann man von einem neuen virus sprechen.

wo ist die wissenschaftliche publikation mit entsprechendem nachweis des hiv-virus?
so etwas gibt es nicht.
 
Zuletzt bearbeitet:
Ja du hast recht. Alles Fake, alles Verarsche. Niemand hat AIDS, bei niemanden wurde HIV nachgewiesen, denn das ist alles nur Erfindung der Pharma-Industrie. Du hast zwar absolut keine bessere Erklärung, weißt aber das alles ganz anders ist. Auch weißt du zwar absolut nicht, was FA@H eigentlich erforscht, weißt aber, dass es nichts bringt.

Ganz ehrlich warum sind es immer die gleichen Menschen, die wirklich jeder Verschwörungstheorie hinterherlaufen. Skepsis ist ja nichts falsches, aber die Vehemenz, mit der Laien einfach jede wissenschaftliche Erkenntnis ablehnen und sich selber als wissenschaftlich bewandert darstellen, ist schlicht grotesk.

Aber ich bin mir sicher, dass der Nobelpreis für die Entdecker des HI-Viruses auch nur durch die Industrie gelenkt wurde und die Arbeiten allesamt sinnlose und bedeutungslose Ansammlungen von falschen Behauptungen sind.

Das schlimme an der Sache ist, dass silva_surfer wirklich bisher noch zu jedem brisanten Thema hier die abstrusen Theorien anderer verbreitet hat und dabei der Überzeugung ist, er würde selbstständig denken. Dabei erzählt er auch nur das weiter, was andere auf ihren Webseiten zusammenbrauen und erklärt dann hier, wie dumm und leichtgläubig wir doch alle sind. Man braucht sich nur anzuschauen, zu welchen Themen er hier schon referiert hat um seine Ahnung zum jeweiligen aktuellen Thema seiner Wahl abzuschätzen. Aber es ist auch einfach sämtliche seriösen Quellen als Fälschung und Manipulation abzulehnen und damit keinerlei Beweise zuzulassen. Dumm nur, dass man sich damit die Chance nimmt tatsächlich Dinge zu hinterfragen, so wie man vorgibt.
 
Zuletzt bearbeitet:
Zurück
Oben